The image shows a man and woman standing on a beach with their arms around each other, smiling and looking at the camera.

Smile Gallery

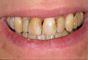
The image shows a person with an open mouth displaying multiple teeth, including front teeth with large fillings and discoloration, as well as yellowish stains on the teeth. The individual appears to be smiling.

Before

The image shows a person with a wide smile displaying straight white teeth, which suggests good oral hygiene.

After

The image shows two photographs of a person s teeth with significant decay and discoloration  the upper photo displays a close-up view, while the lower one provides a wider perspective.

Before

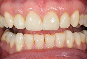
The image shows a close-up view of a person s mouth with teeth that appear yellowed and stained, suggesting poor oral hygiene or the need for dental care.

After

The image shows a close-up of a person s face with teeth, smiling at the camera, against a neutral background.

Before

The image shows a close-up of a person s mouth with teeth, set against a blurred background, which appears to be a face with a beard.

After

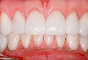
The image shows a close-up view of a person s teeth with a focus on a set of white veneers, highlighting their brightness and cleanliness.

Before

The image shows a close-up of a person s teeth with a focus on the dental work, including veneers and possibly some cosmetic procedures.

After

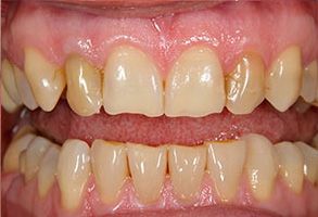
The image shows a close-up view of a person s teeth with noticeable yellowing and staining, indicating poor oral hygiene.

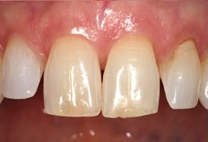
Before

The image displays a close-up view of a person s teeth with a focus on a large gap between the front teeth, showcasing dental imperfections such as yellowing and staining.

After

The image shows a close-up view of an individual s teeth with visible signs of dental decay and discoloration, set against a background which suggests a medical or dental office environment.

Before

The image shows a close-up of a person s teeth with a focus on a dental procedure, specifically a smile makeover involving veneers.

After

The image shows a person s mouth with discolored teeth and a metal bracket holding them together, indicating dental work in progress.

Before

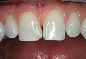
The image shows a close-up of a person s teeth with a focus on a crooked front tooth.

After

The image displays a stylized graphic with blocks of color arranged in a pattern that resembles a three-dimensional structure, predominantly featuring shades of blue and white, against a light gray background.

Our Services

Learn More

New Patients

Learn More

Request an Appointment

Start Today

Get In Touch

Office Hours

Monday
*8:00 am - 1:00 pm
*Phone Calls Only
Tuesday
8:00 am - 5:00 pm
Wednesday
8:00 am - 5:00 pm
Thursday
8:00 am - 5:00 pm
Friday
8:00 am - 1:00 pm
Saturday
Closed
Sunday
Closed